Now online! (Cell 186786–802.e1–e15; February 16, 2023)
Now online! (Cell 186, 786–802.e1–e15; February 16, 2023)
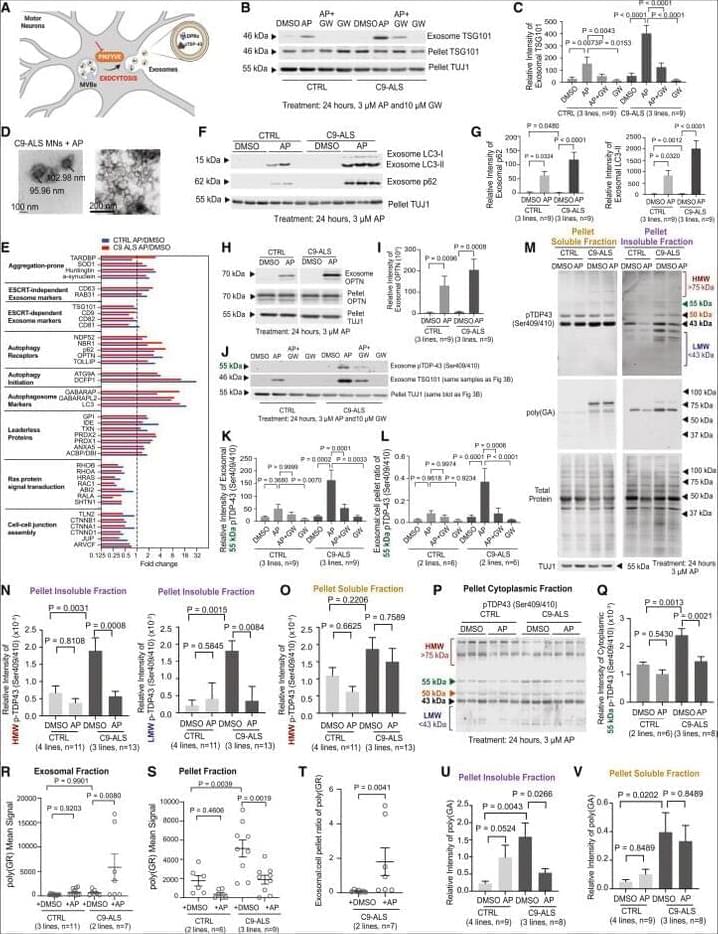
In our original published article, we performed western blots and imaging of induced motor neurons (iMNs) to elucidate the mechanism through which PIKFYVE inhibition causes secretion and clearance of aggregation-prone proteins such as phosphorylated TDP-43 (pTDP-43). Since publication, we have become aware of 3 errors in figure legends or images that we are now correcting.
