The hormone adrenomedullin disrupts insulin signaling in blood vessel cells, contributing to systemic insulin resistance in obesity-associated type 2 diabetes, according to a Science study from earlier this year in mice.
The results suggest a potential new target for treating obesity-related metabolic disease.
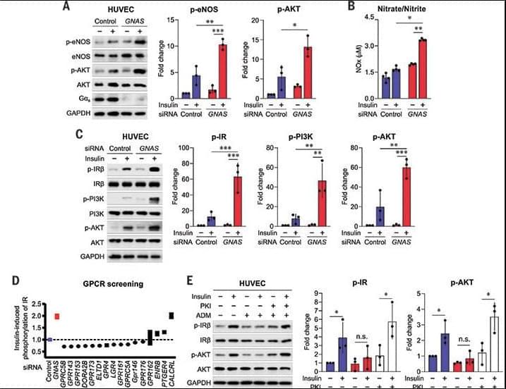
Insulin resistance is a hallmark of obesity-associated type 2 diabetes. Insulin’s actions go beyond metabolic cells and also involve blood vessels, where insulin increases capillary blood flow and delivery of insulin and nutrients. We show that adrenomedullin, whose plasma levels are increased in obese humans and mice, inhibited insulin signaling in human endothelial cells through protein-tyrosine phosphatase 1B–mediated dephosphorylation of the insulin receptor. In obese mice lacking the endothelial adrenomedullin receptor, insulin-induced endothelial nitric oxide–synthase activation and skeletal muscle perfusion were increased. Treating mice with adrenomedullin mimicked the effect of obesity and induced endothelial and systemic insulin resistance. Endothelial loss or blockade of the adrenomedullin receptor improved obesity-induced insulin resistance.








